En el mundo de la ortodoncia, y la odontología en general, las nuevas tecnologías están siendo una auténtica revolución. En la Clínica de Ortodoncia Borja hemos apostado muy fuerte por incorporarlas a nuestros procesos de trabajo. Ofrecemos, a todos nuestros pacientes, un diagnóstico 100% fiable y acertado con toda la información que nos aportan las pruebas del Escáner 3D (modelos), el CBCT (Radiografías en 3D) y la Fotografía 3D. Además, antes de empezar el tratamiento, los pacientes pueden ver cómo va a quedar su sonrisa con el DSD, Digital Smile Design, y cómo se van a mover sus dientes hasta alcanzar la posición óptima, con el Set Up.
La clave de un buen tratamiento siempre reside en haber hecho un diagnóstico acertado. Si sabes lo que está pasando exactamente, en la boca del paciente, encontrar la solución y ponerla en marcha resulta más fácil y rápido. En Ortodoncia Borja sumamos a nuestros 25 años de experiencia las últimas tecnologías que hay en el mercado. Tal y como explica nuestra ortodoncista Genoveva Borja “la cantidad de información de la que ahora disponemos antes de empezar un tratamiento es brutal. Disponemos de cientos de datos para poder elaborar un plan de trabajo real y no imaginario de lo que podemos realizar en la boca de un paciente. Antes sólo disponíamos de ciertos datos y de la experiencia para saber lo que podíamos conseguir, ahora podemos tener toda la información”.
La información a la que nos estamos refiriendo la vamos a explicar punto por punto a continuación. En primer lugar, hablaremos de nuestra última incorporación en el diagnóstico que es el Escáner 3D. Es cuestión de sólo 10 minutos el poder reproducir, diente a diente, la boca de un paciente, en una pantalla a tiempo real, a todo color y con una gran calidad de la imagen. Podemos apreciar si el paciente tiene alguna pieza dental rayada, alguna parte descascarillada. Con esta prueba obtenemos el volumen y el estado de todas las piezas dentales de la arcada superior e inferior y también de cómo muerde el paciente, información clave para saber si sus dientes encajan bien o no.
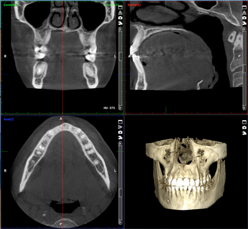
Con el 3D radiológico conseguimos imágenes volumétricas del hueso de la cara del paciente. Así vemos la posición real de las articulaciones, esto es importantísimo para comprobar que tienen una buena función. También hay que destacar que esta imagen, del volumen de los huesos, es clave para que el cirujano pueda ver los cambios que va a haber en la cara del paciente de forma muy real, así pues, podemos decir que permite hacer una cirugía virtual. Nos bastan 16 segundos para hacer esta radiografía volumétrica o CBCT (Cone Beam Computed Tomography). Es una prueba similar a un TAC, pero en este caso sólo hace falta una rotación de emisión de Rayos X y en el TAC se necesitan varias rotaciones, así la radiación que recibe el paciente es muy baja (75 CBCT equivalen a 1 TAC convencional). La imagen que obtenemos para poder diagnosticar puede ser desde la imagen de un solo diente hasta el cráneo completo, dependiendo del paciente y del caso a tratar.
Las fotos 3D, de la cara del paciente, completan nuestro ciclo de información, que en el caso de requerir de cirugía permitirán ver los cambios físicos que se van a producir en la fisonomía del paciente. Toda esta información 3D es como afirma Genoveva Borja “la revolución más importante en el campo de la ortodoncia ya que ayuda a que el diagnostico sea real y exacto. Así, para solucionar el problema del paciente, vamos a necesitar menos tiempo de tratamiento porque sabes de dónde partes y cuál es el camino preciso para llegar a tu objetivo, cumpliendo unas expectativas reales del paciente”
Beneficios para el paciente
Por otra parte, con las pruebas 3D nos evitamos hacer 3 radiografías al paciente. Hasta ahora necesitábamos realizar una ortopanto, una teleradiografía lateral y una frontal. No obstante, no conseguíamos toda la información que queríamos (faltaba la posición de las articulaciones). Con un simple CBCT la radiación es menor que las 3 radios y recibimos muchísimos más datos. Además, con el escaneado de la boca nos evitamos tomar medidas con alginato que en los casos quirúrgicos lo hacemos cada 3 meses.
Los casos quirúrgicos son aquellos en que los huesos no están coordinados. Pueden ser por inclinaciones anómalas de los maxilares como la mordida abierta o porque lo maxilares son de distintos tamaños, demasiado grande o pequeña. El cirujano tiene que colocar el hueso en la posición correcta y el ortodoncista debe colocar los dientes en posición correcta dentro del hueso para la coordinación óptima de los huesos. Para ello, a lo largo del tratamiento, se deben tomar medidas de la boca cada 2 ó 3 meses. Estas medidas se hacen con la pasta de alginato, que para algunos pacientes son una auténtica incomodidad porque les da mucha angustia. Este sufrimiento se ha acabado con el Escaner 3D. Con esta nueva tecnología podemos ir analizando cómo evoluciona la boca del paciente, que en los casos quirúrgicos se va desencajando poco a poco, con todos los datos, de las tomas iniciales, intermedias y finales, para comprobar que estás avanzando en el objetivo a alcanzar.
Otro avance importante, para el paciente y su tratamiento, es la precisión. En los casos de ortodoncia que requieren de colocación de microtornillos en el paladar, para ayudar en el tratamiento, podemos situarlos sabiendo donde está exactamente el nervio y la raíz del diente. También cual es lugar ideal para posicionar el tornillo y cómo debe de ser su grosor y tamaño, teniendo en cuenta el espacio que tiene el paciente en su boca. Ya no hay que ir probando ya que ahora todo es precisión y exactitud.
La multitud de datos exactos, que nos dan las nuevas tecnologías, nos llevan a un diagnóstico 100% fiable y también nos permiten viajar al futuro. El paciente puede ver cómo va a ser su sonrisa, tras el tratamiento, con el Digital Smile Design, DSD. Se trata de un programa informático especial para diseñar la sonrisa y que el paciente compruebe el resultado final antes de empezar.
También con el Set Up podemos analizar qué movimientos se van a producir en los dientes del paciente hasta conseguir un engranaje perfecto para su boca. Permite ver los movimientos ortodóncicos de forma virtual, así cogemos los dientes los colocamos les damos la información del movimiento que queremos y podemos ver si van a caber o no dentro del hueso, de si van a permitir una función correcta. Con esto respondemos a preguntas fundamentales como: ¿Necesidades de espacio: expansión? ¿Tipo de anclaje: dental u óseo? ¿Necesidades de stripping(limado de dientes) o extracciones? y la pregunta más importante qué tipo de aparato de ortodoncia va a ser el mas adecuado para ese proceso.
Los pacientes siempre agradecen este tipo de pruebas porque les ayuda a entender el tratamiento y porque pueden ver cómo va a ser, cosa que les tranquiliza y también anima a seguirlo con todas nuestras recomendaciones. Así pues, la información se ha convertido en una herramienta imprescindible para acabar con éxito un tratamiento como asegura la Doctora Borja “queremos ofrecer a todos nuestros pacientes el mejor trabajo posible y esto se consigue obteniendo la mayor información a nuestro alcance”.












